SUBLUXAÇÃO ATLANTOAXIAL CONGÊNITA EM CÃO SUBMETIDO A TRATAMENTO CONSERVATIVO – RELATO DE CASO
Résumé
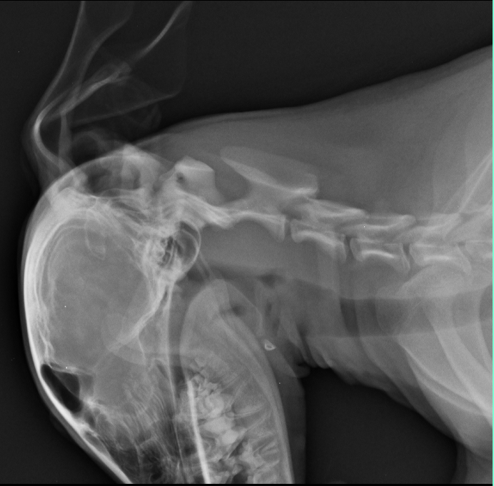
A subluxação atlantoaxial ou instabilidade atlantoaxial, é uma afecção articular onde ocorre o deslocamento dorsal do áxis (C2) em relação ao atlas (C1) levando a uma compressão da medula espinhal, podendo ser de forma congênita ou adquirida. Os cães acometidos apresentam sinais clínicos relacionados ao nervo motor superior (NMS) como consequência da compressão medular cervical, tendo curso agudo ou crônico, intermitentes ou não. O diagnóstico é realizado através da avaliação dos sinais neurológicos, exame clínico e exames de imagem. O tratamento pode ser médico, com o repouso, uso de colar cervical e utilização de analgésicos e anti-inflamatórios ou cirúrgico, visando a redução e estabilização permanente da articulação e eliminar a compressão medular. Este trabalho tem como objetivo relatar o atendimento a um canídeo, fêmea, sem raça definida, com 6 meses de idade e 6 kg, atendido no hospital veterinário do Centro Universitário Ingá, apresentando cervicalgia, relutância ao movimento de cabeça e pescoço, ataxia, quedas ao locomover-se e paresia de membros posteriores de curso agudo, tendo início a aproximadamente 2 dias tendo sido, através do exame radiográfico diagnosticada com Subluxação atlantoaxial congênita, tendo sido instituído tratamento conservativo com uso de colar cervico torácico e repouso em canil, tendo sido prescrito cloridrato de tramadol, dipirona, meloxicam e ranitidina, obtendo-se resposta satisfatória ao quadro, sem qualquer sinal recidiva durante 6 meses de acompanhamento.
Téléchargements
Références
BATISTA, D.S.; ALBUQUERQUE, V.B.; ASSIS, M.M.Q.; ARAÚJO, M.A.; OLIVEIRA, G.K. Subluxação atlantoaxial traumática em um cão: relato de caso. Campo Digital, v. 9, n. 1, p. 45-48, 2014.
BECKMANN, D.V.; MAZZANTI, A.; SANTINI, G.; SANTOS, R.P.; FESTUGATO, R.; PELLIZARI, C.R.; NETO, D.P.; BAUMHARDT, R. Subluxação atlantoaxial em 14 cães (2003-2008). Pesquisa Veterinária Brasileira, Rio de Janeiro, v. 30, n. 2, p. 172-176, 2010. .
BENDER, C.G.; TEICHMANN, C.E.; BECK, C.; RIGON, F.; CADURI, T.M. Instabilidade atlantoaxial congênita em canino da raça Poodle. Salão do Conhecimento, v. 2, n. 2, 2016.
CERDA-GONZALEZ, S.; DEWEY, C.W. Congenital diseases of the craniocervical junction in the dog. In: Veterinary Clinics of North América. v. 40, p. 121-141, 2010. .
CHRISMAN, C.; MARIANI, C.; PLATT, S.; CLAEMMONS, R. Quadriparesia, quadriplegia, hemiparesia, hemiplegia agudas. In: _________. Neurologia para o clínico de pequenos animais. São Paulo: Roca, Cap. 9, p. 203-225, 2005.
HAVIG, M.E.; CORNELL, K.K.; HAWTHORNE, J.C.; MCDONELL, J.J.; SELCER, B.A. Evaluation of nonsurgical treatment of atlantoaxial subluxation in dogs: 19 cases (1992- 2001). Journal of the American Veterinary Medical Association, v. 227, n. 2, p. 257-262, 2005. .
LECOUTEUR, R.A.; MCKEOWN, D.; JOHSON, J.; EGER, C.E. Stabilization of atlantoaxial subluxation in the dog using the nuchal ligament. Journal of the Americam Veterinary Medical Association. v. 177, p. 1011-1017, 1980.
LORIGADOS, C.A.B.; DE ALMEIDA STERMAN, F.; PINTO, A.C.B.F. Estudo clínico-radiográfico da subluxação atlantoaxial congênita em cães. Brazilian Journal of Veterinary Research and Animal Science, v. 41, n. 6, p. 368-374, 2004. .
SEIM, H.B. Cirurgia da coluna cervical. Instabilidade atlantoaxial. In: FOSSUM, T.W. Cirurgia de pequenos animais. 3ed. Rio de Janeiro: Elsevier, 2008. Cap.38. p. 1441-1446.
SHIRES, P. K. Instabilidade atlantoaxial. In: SLATTER, D. Manual de cirurgia de pequenos, 1998. 2ª ed. São Paulo: Manole, 1998. v.1, Cap.73, p. 1261-1269.
SILVA, A.C.; FIGUEIREDO, M.L.; ARAÚJO, B.M.; SANTANA E SILVA C.E.; ESPÍNDOLA, R.S.; PELUSO, E.M.; TUDURY, E.A. Resposta ao tratamento clinico conservativo diante da instabilidade atlantoaxial em Cão-Relato de Caso. In: Jornada de ensino, pesquisa e extensão, Recife. Anais. Recife: UFRPE, 2009.
STAINKI, D.R.; GARCIA, F.S.; SILVA, N.R. Instabilidade atlanto-axial em canino: breve revisão e relato de caso. Revista da FZVA, v. 6, n. 1, 1998.
STINGER, O.; ALEKSANDERSEN, M.; SORBY, JORGENSES, H.J. Acute non-ambulatory tetraparesis with absence of the dens in two large breed dogs: case reports with a radiographic study of relatives. Acta Veterinaria Scandinavica, v. 55, n. 1, p. 31, 2013.
TAYLOR, S. M. Distúrbios articulares. In: NELSON, R. W. E COUTO, C. G. Medicina interna de pequenos animais, v. 2, p. 845-855, 2001.
WESTWORTH, D.R.; STURGES, B.K. Congenital spinal malformations in small animals. Veterinary Clinics of North America: Small Animal Practice, v. 40, n. 5, p. 951-981, 2010.
WHEELER, S.J.; SHARP, N.J.H. Subluxação atlantoaxial. In: WHEELER, S.J.; SHARP, N.J.H. Diagnóstico e tratamento cirúrgico das afecções espinhais do Cão e do Gato. São Paulo: manole. Cap, 9, p. 109-121, 1999.
WIDMER, W.R.; THRALL, D.E. Vertebras do Cão e do Gato. In: THRALL, D.E. Diagnóstico de Radiologia Veterinária. 6 ed. Rio de Janeiro: Elsevier, 2014. Cap.11, p. 390-489 1894.
ZANI, C.C.; MARINHO, P.V.T.; MINTO, B.W.; LIMA, T.B.; Moraes P.C.; LAUS, J. Instabilidade atlantoaxial em Cães: Fisiopatologia, abordagens clinico-cirúrgicas e prognostico. Veterinária e Zootecnia, v. 22, n. 2: p 163-182, 2015.
