CARACTERIZAÇÃO ULTRASSONOGRÁFICA RENAL AO MODO B DE GATOS DE MEIA-IDADE À IDOSOS
Resumo
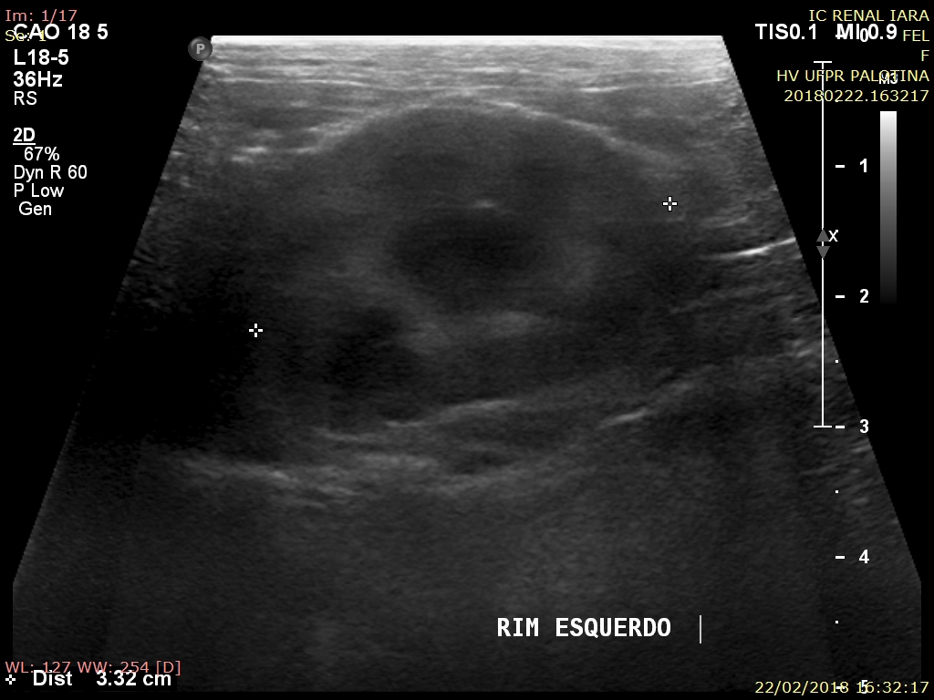
O exame ultrassonográfico é uma ferramenta diagnóstica imprescindível na avaliação da integridade renal, já que fornece informações importantes a respeito da arquitetura e das dimensões renais. Os rins são facilmente visualizados na ultrassonografia, a qual permite avaliar o parênquima do órgão, diagnosticar possíveis afecções, e monitorar o grau de comprometimento tecidual. Os gatos apresentam predisposição ao desenvolvimento de nefropatias, especialmente os mais idosos, por isso o uso do ultrassom demonstra alto grau de importância no diagnóstico precoce. O presente trabalho avaliou 12 gatos provenientes da rotina do Hospital Veterinário da Universidade Federal do Paraná, Setor Palotina, nos quais o tamanho renal demonstrou média e desvio padrão de 3,52 ± 0,45cm para o rim esquerdo e 3,64 ± 0,34cm para rim direito, a ecogenicidade de cortical se mostrou aumentada em sua maioria, sendo um achado normal devido ao acúmulo de gordura tubular. Os parâmetros de topografia, forma, contorno e características de pelve renal se mostraram dentro da faixa de normalidade, sendo as alterações em relação e diferenciação corticomedular, e ecogenicidade de cortical as de maior importância.
Downloads
Referências
BANZATO, T.; BONSEMBIANTE, F.; ARESU, L.; ZOTTI, A. Relationship of diagnostic accuracy of renal cortical echogenicity with renal histopathology in dogs and cats, a quantitative study. BMC veterinary research, v.13, n.1, 24-31, 2017.
CHEW, D. J.; DiBARTOLA, S. P.; SCHENCK, P. A. In: Urologia e Nefrologia do Cão e do Gato. 2 ed. Rio de Janeiro: Elsevier, 2011. p.540.
COLE, L.P.; MANTIS, P.; HUMM, K. Ultrasonographic findings in cats with acute kidney injury: a retrospective study. Journal of Feline Medicine and Surgery, p.1-6, 2018.
DEBRUYN, K.; HAERS, H.; COMBES, A.; PAEPE, D.; PEREMANS, K., VANDERPERREN, K.; SAUNDERS, J. H. Ultrasonography of the feline kidney. Journal of Feline Medicine and Surgery, v.14, n.11, p794–803, 2012.
DROST, W.T.; HENRY, G.A.; MEINKOTH, J.H.; WOODS, J.P.; LEHENBAUER, T.W. Quantification of hepatic and renal cortical echogenicity in clinically normal cats. American Journal of Veterinary Research, v.61, n.9, p.1016–1020, 2000.
GALVÃO, A.L.B.; BORGES, J.C.; VIEIRA, M.C.; FERREIRA, G.S.; MILDRE, E.L.; PINTO, L. Alterações clínicas e laboratoriais de cães e gatos com doença renal crônica: Revisão da literatura. Nucleus Animalium, v.2, n.1, p.23-40, 2010.
KLEIN, B.G. Cunningham tratado de fisiologia veterinária. 5ª. ed. Rio de Janeiro: Elsevier, 2014.
LARSON, M.M. The kidneys and ureters. In: O’BRIEN R & BARR F (eds). BSAVA manual of canine and feline abdominal imaging. 1st ed. Gloucester: British Small Animal Veterinary Association, p.185–204, 2009
LUND, E.; ARMSTRONG, P.J.; KIRK, C.A.; KOLAR, L.M.; KLAUSNER, J.S. Health status and population characteristics of dogs and cats examined at private veterinary practices in the United States. Journal American Veterinary Medicine Association, v.214, p.1336-1341, 1999.
MANNION, P. Diagnostic ultrasound in small animal practice. 1st ed. Oxford: Blackwell Science, 2006.
MOGHAZI, S.; JONES, E.; SCHROEPPLE, J.; MCCLEALLAN, W.; HENNIGAR, R.A.; O’NEILL, W.C. Correlation of renal histopathology with sonographic findings. Kidney International. v.67, n.4, p.1515–1520, 2005.
NYLAND, T. G. e MATTOON, J. S. Trato Urinário. In: NYLAND, T. G.; MATTOON, J. S. Ultrasom Diagnóstico em Pequenos Animais. 2 ed. São Paulo: Roca, 2005, p.161-198.
PAZ, G.M. et al. Nefrologia em medicina felina. Cadernos Técnicos de Veterinária e Zootecnia, nº 82 - dezembro de 2016, p.88-102.
PENNINCK, D. e D'ANJOU, M. A. Atlas de Ultrassonografia de pequenos animais. 1. ed. Rio de Janeiro: Guanabara Koogan, 2011. p.337-362.
POLZIN, D.J. 11 Guidelines for conservatively treating chronic kidney disease. Veterinary Medicine, peer-reviewed p.788-799, 2007.
QUAIA, E. e BERTOLOTTO, M. Renal parenchymal diseases: is characterization feasible with ultrasound? European Radiology. v.12, n.8, p.2006–2020, 2002.
ROSENFIELD, A. e SIEGEL, N. Renal parenchymal disease: histopathologic sonographic correlation. American Journal of Roentgenology. v.137, n.4, p.793–798, 1981.
THRALL, D.E. Diagnóstico de Radiologia Veterinária. 6. ed., Rio de Janeiro: Elsevier, 2014. p. 705- 725.
VAC, M. H. Sistema Urinário: Rins, Ureteres, Bexiga Urinária e Uretra. In: CARVALHO, C.F. Ultra-Sonografia em Pequenos Animais. São Paulo: Roca, 2004. p.111-146.
WAKI, M.F.; MARTORELLI, C.R.; MOSKO, P.E.; KOGIKA, M.M. Classificação em estágios da doença renal crônica em cães e gatos: abordagem clínica, laboratorial e terapêutica. Ciência Rural, v.40, n.10, p.2226-2234, 2010.
WATSON, A. Indicators of renal insufficiency in dogs and cats presented at a veterinary teaching hospital. Australian Veterinary Practices, v.31, n.2, p.54-58, 2001.
YEAGER, A.E, e ANDERSON, W.I. Study of association between histologic features and echogenicity of architecturally normal cat kidneys. American Journal of Veterinary Research. v.50, n.6, p.860-863, 1989.
