AVALIAÇÃO DA RESPOSTA CICATRICIAL À APLICAÇÃO DÉRMICA DE SCAFFOLD A BASE DE AMIDO ADITIVADO EM FERIDAS CIRÚRGICAS DE ORYCTOLAGUS CUNICULUS EM MODELO EXPERIMENTAL
Résumé
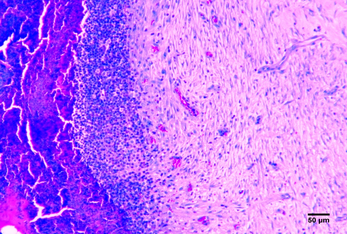
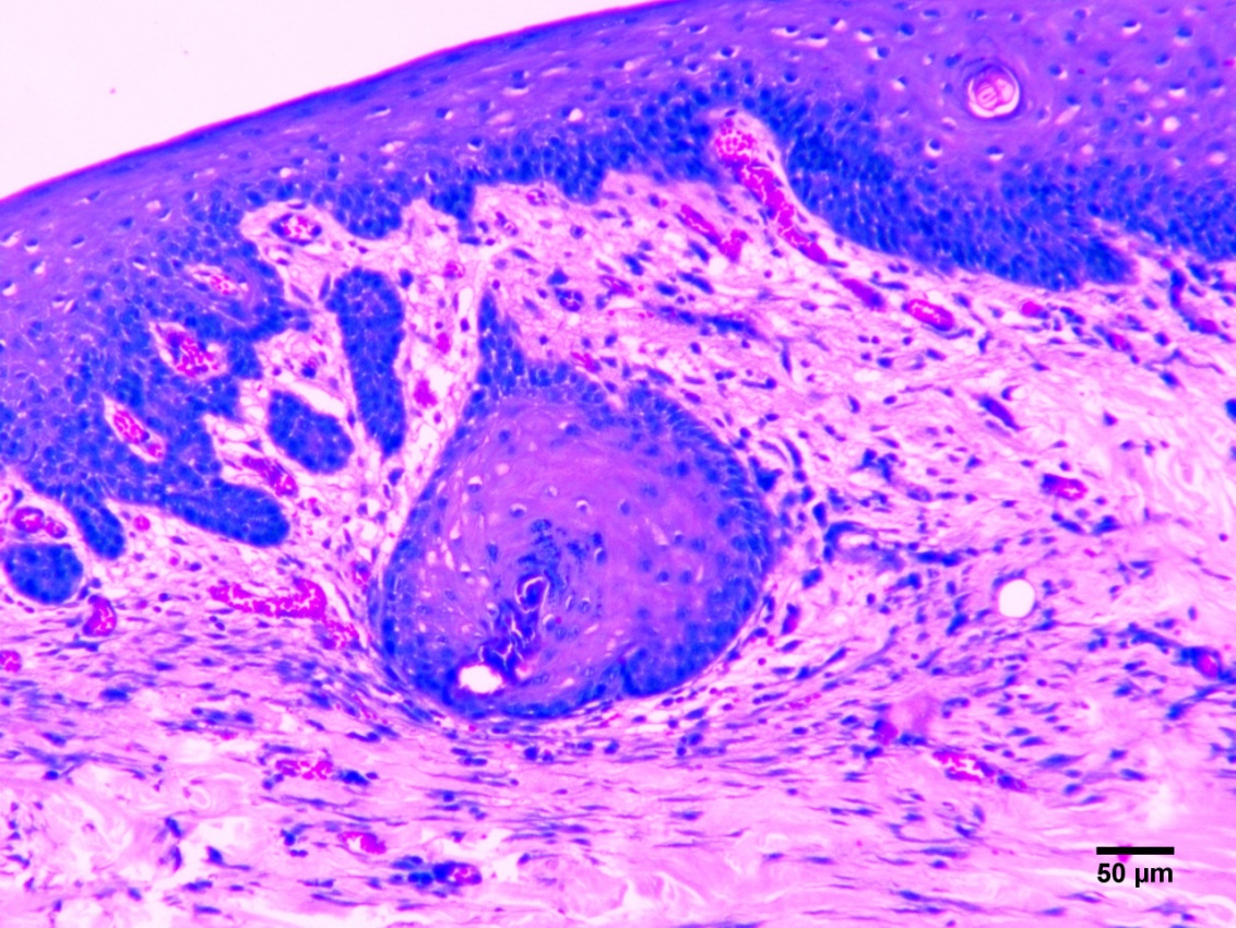
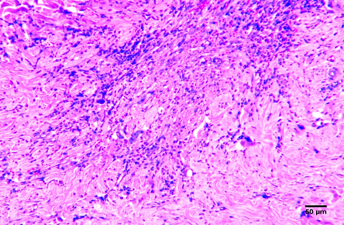
O presente estudo teve por objetivo desenvolver e investigar experimentalmente as potencialidades de aplicação de bioadesivo a base de amido aditivado, como sistema patches transdérmico e intradérmico epitelial, em formato de filme monolaminar tubular, visando à ação futura para administração de anti-inflamatórios, antimicrobianos e atuação terapêutica. Foram utilizados 20 coelhos machos e fêmeas, da raça Nova Zelândia, adultos, separados em quatro grupos com cinco animais que passaram por cirurgia para realização de defeito dérmico. O grupo GA e o grupo GB (controle dérmico e intradérmico negativos respectivamente) não receberam biomaterial na ferida. Os animais do grupo GC receberam o biofilme adesivo de forma dérmica que foi suturado sobre a ferida e o grupo GD, recebeu o biofilme adesivo de forma intradérmica. Aos sete e 14 dias de pós-operatório os animais foram anestesiados novamente para criação do defeito para biópsia. A análise estatística da planimetria foi conduzida a partir da média dos grupos, utilizando-se o teste de Tukey a significância de 1%, através do software computacional estatístico SAS®. A pesquisa demonstrou que o biofilme utilizado até sete dias reduz o processo inflamatório e estimula a neoangiogênse.
Téléchargements
Références
BOLSON, J.; SCHOSSLER, J.E., ORNES, R.C., MOTTIN, V., ALBERTI, T. Análise clínica, radiológica, macroscópica e histológica do úmero de codornas domésticas (Coturnix japonica), submetido ao implante da poliuretana derivada do polímero de mamona (Ricinnus communis). Ciência Rural, v.35, n.5, p.1123-1130, 2005.
CAMILO, C.C. Escafoldes para implantes ósseos em alumina/hidroxiapatita/biovidro: análises mecânica e in vitro. In: Congresso Latino Americano de Órgãos Artificiais e Biomateriais, 4., Caxambú. Anais... Caxambú: IV COLAOB, 2006. p.28-34, 2006.
CAPK, G. Chemitry of calcium phosphate bioceramics. In: Yamamuro, T. et al. Handbook on bioactive ceramics. Boca Raton, FL: CRC, V.II, p.31, 1990.
CAVALCANTI, A.O. Excipientes farmacêuticos: perspectivas dos polissacarídeos na pesquisa e desenvolvimento de novos sistemas de liberação. Arquivo de Ciências da Saúde Unipar, vol. 6, p. 53-56, 2002.
CUZZEL, J.; KRASNER, D. Curativos. In: Gogia P. Feridas – tratamento e cicatrização, Rio de Janeiro: Revinter. Cap. 9, p. 113-114, 2003.
DEALEY, C. Cuidando de feridas: um guia para enfermeiras. São Paulo: Atheneu, 2ed, Cap. 9, p. 200, 2007.
FERREIRA, A.S., BARBIERI, C.H.; MAZZER, N.; CAMPOS, A.D.; MENDONÇA, A.C. Mensuração de área de cicatrização por planimetria após aplicação do ultra-som de baixa intensidade em pele de rato. Revista Brasileira de Fisioterapia, v. 12, n. 5, p. 351-358, 2008.
FONSECA, N.; GOLDENBERG, S.; GOMES, P.O.; LIMA, A.P. Anestesia em coelho. Acta Cirúrgica Brasileira, v.11, p.82-104, 1996.
GRIFFITH, L.G. Polymeric biomaterials. Acta Materialia, v.48, n.1, p.263-277, 2000.
HEDLUND, C.S. Cirurgia do sistema tegumentar. In: FOSSUM, T.W. Cirurgia de Pequenos Animais. 2. ed. São Paulo: Roca, 2005.
HOLMES, T.C. Novel peptide-based biomaterial scaffolds for tissue engineering. Trends in Biotechnology, v.20, n.1, p.132- 137, 2002.
HUSSNI, C. A.; GIANINI, C. G.; ALVES, A.L.G.; NICOLETTI, J.L.M., THOMASSIAN, A.; CROCCI, A,J.; SEQUEIRA, J.L. Second intention skin wound healing in equines under vedaprofen treatment. Archives of Veterinary Science, v. 9, n. 1, p. 87-92, 2004.
MANDELBAUM, S.H. Cicatrização: conceitos atuais e recursos auxiliares – Parte II. Anais Brasileiro de Dermatologia, v.78, n.5, Rio de Janeiro, 2003.
MARQUES S.M.; CAMPOS, P.P.; CASTRO, P.R.; CARDOSO, C.C.; FERREIRA, M.A.; ANDRADE, S.P. Genetic background determines mouse strain diferences in inflammatory angiogenesis. Microvascular Research, v.82: 246-252, 2011.
MARQUEZ, R.R . Avaliação da ferida. In: Gogia P. feridas – tratamento e cicatrização, Rio de Janeiro: Revinter, Cap. 2, p. 11-23, 2003.
NING, W.; JIUGAO, Y.; XIAOFEI, M.; YING, W. The influence of citric acid on the properties of thermoplastic starch/linear low-density polyethylene blends. Carbohydrate Polymers, v. 67, n. 3, p. 446-453, 2007.
PEREIRA, A.M.; ARIAS, M.VB. Manejo de feridas em cães e gatos – revisão. Clínica Veterinária, São Paulo, n. 38, p. 33-42, 2002.
POLLACK, M.; LEEUWENBURH, C. Apoptosis and aging: role of the mitochondria. Journal Gerontology and Biological Science, v.56, p. 475-482, 2001.
QUINN, PJ, MARKEY B K, CARTER ME. Microbiologia Veterinária e Doenças Infecciosas. Porto Alegre: Artmed, 2005.
ROMO III, T.; MCLAUGHLIN, L.A . Wound healing, skin, 2003.
ROSA, M.G.S.; PIPPI, N.L.; CASTRO, M.A.S. Transplante de pele pela técnica de semeadura em cães. Ciência Rural. v.13,n.2-3, p.203-209, 1983.
SAMPAIO, I.B.M. Estatística aplicada à experimentação animal. 2 ed. Belo Horizonte :FEPMVZ, 2002, 265p.
SANTOS, V.L.C.G . Avanços tecnológicos no tratamento de feridas e algumas aplicações em domicílio. In: Duarte YAO, Diogo MJD. Atendimento domiciliar: um enfoque gerontológico. São Paulo: Atheneu, p. 265-306, 2000.
SILVA, J.; APOLINÁRIO, A.C.; SOUZA, M.S.R.; DAMASCENO, B.P.G.L.; MEDEIROS, A.C.D. Administração cutânea de fármacos: desafios e estratégias para o desenvolvimentode formulações transdérmicas. Revista de Ciências Farmacêuticas Básica e Aplicada, v. 31, n. 3, p.125-131, 2010.
SHWEIKI, D.; ITIN, A.; SOFFER, D.; KESHET, E. Vascular endothelial growth factor induced by hypoxia may mediate hypoxia – initiated angiogenis. Nature, n.359, p.843-845, 1992.
TEIXEIRA, A.S.; ARAÚJO, F.A.; FERREIRA, M.A.N.D. Angiogenesis and inflammation in skeletal muscle in response to ascites tumor in mice. Life Sciences, v.78: 1637-1645, 2006.
URURAHY, K.D.A.C.B. Revisão de literatura- utilização de adesivo transdérmico de fentanil para controle da dor em pequenos animais. Faculdade de Jaguariúna, 2010.
VILLANOVA, J.C.O.; ORÉFICE, R.L. Aplicações farmacêuticas de polímeros. Polímeros, São Carlos, 23 v. 20, n. 1, 2010.
YAMADA, B.F.A. Úlceras venosas. In: JORGE, S, A.; DANTAS, S.R.P.E. Abordagem multiprofissional no tratamento de feridas. São Paulo: Atheneu, p. 247-259, 2003.
