<b>Effects of photoperiod on somatic growth and gonadal development in male nile tilapia
DOI:
https://doi.org/10.4025/actascitechnol.v37i4.26880Palavras-chave:
fish, testicular development, light, dark.Resumo
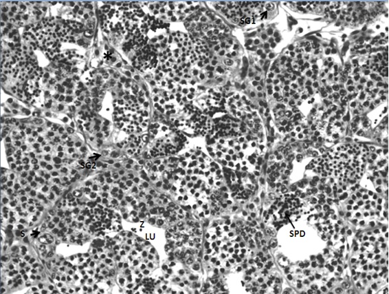
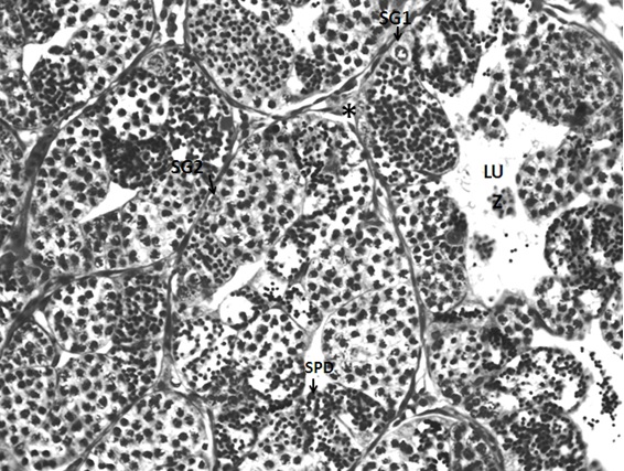
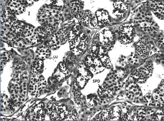
Rotation and translation of the Earth subject the living organisms to cyclic changes of environmental factors. This study evaluated the effects of photoperiod on growth and gonadal development in Nile tilapia (Oreochromis niloticus). In a completely randomized design experiment, juvenile males were distributed into nine tanks (10 fish per tank) and maintained for 60 days under three different light treatments with three repetitions each. The treatments were: T1 - 0 h photoperiod (tanks covered with lids and black plastic); T2 - 12 hours photoperiod (tanks uncovered during photoperiod to provide natural light); and T3 - 24 hours photoperiod (tanks covered with lids equipped with lamps). No significant differences were found between treatments for body length, gonad weight or gonadosomatic index, but body weight was higher in fish subjected to T3 compared with other treatments. Furthermore, significant increases in tubular lumen and germinal epithelium were observed in fish exposed to T1 and T3, respectively. Thus, the manipulation of photoperiod in Nile tilapia culture systems can improve production and consequently increase the economic return on investment.
Â
Downloads
Downloads
Arquivos adicionais
Publicado
Como Citar
Edição
Seção
Licença
DECLARAÇíO DE ORIGINALIDADE E DIREITOS AUTORAIS
Declaro que o presente artigo é original, não tendo sido submetido í publicação em qualquer outro periódico nacional ou internacional, quer seja em parte ou em sua totalidade.
Os direitos autorais pertencem exclusivamente aos autores. Os direitos de licenciamento utilizados pelo periódico é a licença Creative Commons Attribution 4.0 (CC BY 4.0): são permitidos o compartilhamento (cópia e distribuição do material em qualqer meio ou formato) e adaptação (remix, transformação e criação de material a partir do conteúdo assim licenciado para quaisquer fins, inclusive comerciais.
Recomenda-se a leitura desse link para maiores informações sobre o tema: fornecimento de créditos e referências de forma correta, entre outros detalhes cruciais para uso adequado do material licenciado.











